Привет, Гость ! - Войти
- Зарегистрироваться
Персональный сайт пользователя Sveta2206 : iskusstvo.www.nn.ru  
пользователь имеет статус «трастовый»
портрет № 440671 зарегистрирован более 1 года назад

Sveta2206

настоящее имя:
Светлана
Портрет заполнен на 81 %

Отправить приватное сообщение Добавить в друзья Игнорировать Сделать подарок


    Статистика портрета:
  • сейчас просматривают портрет - 0
  • зарегистрированные пользователи посетившие портрет за 7 дней - 1
ira-zvl   11.11.2017 в 18:57   комментирует запись   ПОМИДОРНЫЕ ДОЛЬКИ — САЛАТ В БАНКАХ   1 комментарий
Попробовала сделать. Получилось не вкусно.... Масло прогоркло...   Читать полностью
Модера   04.06.2017 в 18:19   комментирует запись   О наболевшем...   1 комментарий
просто Любовь   21.04.2017 в 14:13   комментирует запись   Ох уж это яблочко=)   1 комментарий
Иногда от таких поступков можно не офигеть, а ох..., где мозги, наверное в яблоке, которое там застряло. Но Рабинович класс.   Читать полностью
Andrux@   16.11.2016 в 14:03   комментирует запись   Россия, разруха, нищета и алкаши   1 комментарий
Пипец какая Россия крутая! АЖ жить хочется! ;)   Читать полностью
Andrux@   01.11.2016 в 09:33   комментирует запись   Выходила замуж, не любя   4 комментария
Неа, не согласен. Можно сначала не любить человека, выйти просто за порядочного, а потом понять всю красоту его/её души и влюбиться капитально)   Читать полностью

Топ-5 сладостей на скорую руку

Своими руками

Сочетание вина и еды

Это факт

Что делать, если отекают ноги летом

Почему отекают ноги

1. Избыток жидкости
В жару мы много пьём, причём не только чистую простую воду, как советуют медики. Многие из нас любят утолять жажду сладкой газировкой, чаем или квасом. Избыток этих напитков вызывает нарушение естественного водно...

Что и когда солить

* Картофель «в мундире» лучше солить в начале варки.

* Если картофель жарят в небольшом количестве жира, лучше его солить, доведя до пол у готовности – тогда он получится вкуснее.

* Капусту для фарша солить не следует.

* Щи из квашеной капусты солит...

Без названия

  14.03.2016 в 07:46   554   комментировать  

Без названия

Полотно «Без названия» Марка Ротко продали с молотка за $28.000.000. У меня все...

Невероятные Факты

20 слов, которых вы не знали

1. Мимикрия - подражание.
2. Колумелла - пространство между ноздрями.
3. Фраппировать – неприятно удивлять.
4. Фриссон - озноб во время прослушивания музыки, которая Вам нравится.
5. Кураж – непринужденно-развязное поведение, наигранная смелость.
6....

А говорят, что лебеди лишь парами

А говорят, что лебеди лишь парами ...
И есть черта ...не свойственна для птиц ...
Когда один, устав, на землю падает ...
Сложив крыло, второй несется вниз ...
А говорят, собак из развлечения
Спускают на волчицу и волчат ...
И против стаи ...в одиноч...

Шоколадное печенье с кокосовой начинкой

Вам потребуется:

200 г муки
25 г какао
6 г разрыхлителя
110 г коричневого сахара
75 г сливочного масла (комнатной температуры)
1 среднее яйцо
20 мл молока
щепотка соли

Начинка:
60 г маскарпоне
60 г кокосовой стружки
30 г сахарной пудры

Как...

Бывает же такое...(Экскурс в историю

В 1339 году, по настоянию своего отца, будущий король Дон Педру I женился на Констансе Кастильской, королеве Кастилии. Брак был недолговечен, как и чувства юноши, который влюбился в служанку своей невесты — Инес де Кастро. Их тайные отношения продолжались...

Прайс в Питерском автосервисе

Санкт-Петербург! Общение!

Лучше не скажешь

  13.03.2016 в 23:09   498   комментировать  

Лучше не скажешь

Хитрости жизни

Прощеное Воскресенье

Сегодня день такой в предверии весны,
Когда тепло в душе твоей вот-вот настанет,
И я спешу сказать тебе: Прости, обиды не держи,
И мне тогда теплее тоже станет.
С Масленницей!

🌝 🌝 🌝

Прошу грехи мне отпустить
И, если можешь, то простить
За то, чт...

Необычные имена советских детей 20-х годов

Октябрьская революция родила новые имена, которыми предполагалось заменить старые, пошлые, мещанские, буржуазные. Вместо традиционных имен, родители-коммунисты стали нарекать своих детей различными звучными нарицательными, либо именами и названиями предме...

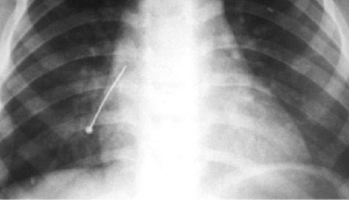
Вопросы, на которые мало кто знает ответ

✏ Что может случиться, если проглотить иголку?

Со 100-процентной уверенностью предсказать конечный результат глотания иглы невозможно. Но есть несколько сценариев, по которым обычно развиваются события. В самом опасном случае проглоченная иголка попадёт...

СПИЧЕЧНЫЕ ГОЛОВОЛОМКИ

1. Надо переложить 5 спичек так, чтобы получилось 2 квадрата.
2. Ключик. Переложить 4 спички так, чтобы получилось 3 квадрата.
3. Домик. Переложить 2 спички так, чтобы дом "смотрел" в другую сторону.
4. Совок. Переложить 2 спички так, чтобы листик, леж...

Почему нужно делать планку целый месяц

Планка — прекрасное упражнение для тренировки всего тела. Оно укрепляет мышцы спины, пресса, ног и рук, улучшает гибкость, осанку и чувство равновесия. Это универсальное упражнение можно делать дома или в тренажёрном зале, в отпуске или после работы, утро...

Как правильно сформулировать свое желание Вселенной

Чтобы ваши желания исполнялись, надо их правильно выразить.

Как выразить «правильное» желание, чтобы Вселенная дала то, что вы действительно хотите? Для этого нужно соблюсти следующие условия:

Желание на момент «заказа» должно быть одно.
Желание не д...

Карта желаний по фэн-шуй

Карта желаний по фэн-шуй помогла исполнить желания многим людям. Все, кто работал с ней, радуются результатам. И вы тоже можете попробовать. Главное соблюдать определенные правила, которые мы сейчас и рассмотрим.

Правила создания карты желаний
Сделать...

ИКОНЫ В ДОМЕ. КАК ВЫБРАТЬ И КУДА ПОСТАВИТЬ

Раньше практически в каждом доме был собственный иконостас — место, где располагались иконы и где к святым и к Господу возносились молитвы. Теперь же многие христианские традиции забыты, в результате чего в некоторых семьях не знают, как правильно содержа...

Сырная соломка за 25 минут

Ингредиенты:
Сыр твердый (около 150 грамм) — 1 стак.
Мука пшеничная — 1,5 стак.
Масло сливочное — 80 г
Молоко — 4 ст. л.
Соль (по вкусу)
Лимонная цедра (от одного маленького лимона)
тмин, кунжут (необязательно, но можете добавить по желанию)

Приг...

В ЧЕМ СЕКРЕТ ЛЕЧЕБНЫХ СВОЙСТВ ПУХОВОГО ПЛАТКА

Не только нетрадиционная медицина, но и официальная, при различных заболеваниях рекомендует использовать пуховые платки. В чем же секрет лечебных свойств оренбургского пухового платка?

Пуховые платки изготавливают из пуха козы и вяжутся знаменитой на ве...

СЕКРЕТЫ ТРАВНИЧЕСТВА

Луна сильно влияет на качество собираемых тех или иных частей растений. В связи с этим применяют на практике правила сбора лекарственных растений; в первую фазу Луны лучше всего собирать корневища, корни и корнеплоды, особенно в шестые и седьмые лунные су...
25
25 50 100
Показывать по